
PERIODONCIA
La periodoncia es la especialidad odontológica encargada de solucionar los problemas de las encías y tejidos de soporte dentario.
Las principales enfermedades que afectan al periodonto (encía y tejidos de soporte) son la gingivitis, la periodontitis y las recesiones gingivales, las dos primeras son enfermedades que se manifiestan con inflamación y sangrado de las encías, mientras que la ultima supone un problema de sensibilidad y estética dental.
Gingivitis
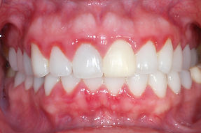
La gingivitis es una enfermedad que afecta las encías, las cuales lucen de color rojo e inflamadas, sangran con el mínimo contacto de algún elemento extraño, muchas veces con el cepillado o incluso cuando se está comiendo.
Se presenta la mayoría de las veces en pacientes con mala higiene oral, pero en otros casos puede ser consecuencia de otras alteraciones fisiológicas como el embarazo, u otras alteraciones patológicas.
Es una enfermedad relativamente fácil de trata, pero que si no se trata progresará hasta convertirse en una Periodontitis.

Periodontitis
La periodontitis es una enfermedad que afecta las encías, el ligamento periodontal y el hueso que soporta a los dientes. Es una enfermedad crónica y su dificultad de tratamiento va a depender de cada caso en particular.
Los pacientes con periodontitis en estados iniciales generalmente no saben que presentan esta enfermedad, ya que es una enfermedad silenciosa y al inicio no da muchos síntomas (sólo sangrado o inflamación tal como la gingivitis), en la mayor parte de los casos los pacientes descubren que tienen un problema cuando sus dientes se han “soltado” o están móviles, y es ahí cuando solicitan una evaluación, lamentablemente es cuando la enfermedad tiene una alta severidad y es difícil de revertir.
La periodontitis se presenta en pacientes que tienen grandes depósitos de sarro, como se observa en la siguiente imagen, o también puede presentarse cuando no hay sarro, pero el paciente proviene de una familia con historial de enfermedad periodontal, es el caso de la periodontitis agresiva.
Para evitar esta enfermedad es importante tener un control con el odontólogo general mínimo 1 vez en el año, y si el paciente ya tuvo alguna vez esta enfermedad debe ir con el especialista cada 6 meses. No hay que olvidar que la periodontitis es una enfermedad crónica, y una vez que se presenta, debe controlarse de por vida.

Recesiones gingivales
Las recesiones gingivales corresponden a la retracción patológica de las encías, en las que se ve expuesta la raíz de la pieza dentaria afectada. Puede afectar a uno o más dientes y su causa es multifactorial, puede deberse a una cepillado traumático, el uso de cepillo dental “duro”, movimiento de ortodoncia mal efectuados, tratamientos de ortodoncia rápida, etc.
Las recesiones gingivales generan sensibilidad en las piezas dentarias afectadas, haciendo difícil consumir cosas muy frías o incluso cosas calientes. La mayoría de las veces un odontólogo general ofrece cubrir la recesión mediante un material restaurador como una resina compuesta, tapando de esta forma el “cuello del diente” para evitar la sensibilidad, lo que no se mejora es el problema estético.
Cuando las recesiones gingivales son muy extensas, o general problemas estéticos, el tratamiento más adecuado es la Cirugía Plástica Periodontal, tratamiento que se realiza en un pabellón de cirugía menor y que logra cubrir la recesión gingival con la encía del propio paciente.
